teeth whitening miami best dentist straight teeth white teeth perfect teeth beautiful smile veneers implant all on x

How much is a dental implant and veneers combination TREATMENT

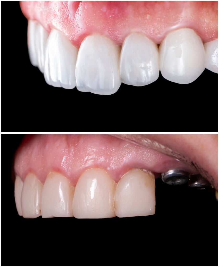
HOW MUCH IS A DENTAL IMPLANT AND VENEERS COMBINATION TREATMENT

When it comes to creating a flawless, healthy, and long-lasting smile, many patients wonder: “How much is a dental implant and veneers combination treatment?” The truth is that while veneers are the gold standard for achieving a perfect Hollywood-style smile, dental implants provide a permanent solution for missing or severely damaged teeth. When combined into a single treatment plan, implants and veneers can completely restore both the function and aesthetics of your teeth—delivering a result that goes far beyond cosmetic improvements. In Miami and across the United States, the cost of a dental implant plus veneer combination depends on multiple variables, including the number of teeth involved, the materials chosen (such as porcelain, zirconia, or composite), the expertise of the dentist, and any preparatory procedures needed like bone grafting or gum reshaping. Patients considering this life-changing smile makeover should know that while the upfront investment may be higher than veneers alone, the long-term value is unparalleled: implants restore full bite strength and durability, while veneers deliver symmetry, whiteness, and overall beauty. Together, they represent one of the most comprehensive treatments available in modern cosmetic dentistry, blending restorative care with aesthetic perfection.

lips, lip filler, filler, botox, facial treatment, injection, beauty, botox, botox, botox, botox, botox
How much do veneers cost Mexico
How much do veneers cost Mexico How much do veneers cost Mexico How much do veneers cost...
veneers root canal crown root canal dermal fillers botox deep cleanning srp braces extraction tooth extract pulled out partial dentures removable root canal dentures composite resin inlay onlay bridge crowns Invisalign clear aligners teeth reshaping gummy smile botox bonding teeth whitening miami best dentist straight teeth white teeth perfect teeth beautiful smile veneers smile design veneers
How much veneers cost in Brazil
When considering a smile transformation, patients often weigh the pros and cons of traveling abroad for...
veneers root canal crown root canal dermal fillers botox deep cleanning srp braces extraction tooth extract pulled out partial dentures removable root canal dentures composite resin inlay onlay bridge crowns Invisalign clear aligners teeth reshaping gummy smile botox bonding teeth whitening miami best dentist straight teeth white teeth perfect teeth beautiful smile veneers smile design veneers
How much veneers cost in Puerto Rico
When it comes to investing in your smile, patients often compare destinations like Puerto Rico and Miami...
veneers root canal crown root canal dermal fillers botox deep cleanning srp braces extraction tooth extract pulled out partial dentures removable root canal dentures composite resin inlay onlay bridge crowns Invisalign clear aligners teeth reshaping gummy smile botox bonding teeth whitening miami best dentist straight teeth white teeth perfect teeth beautiful smile veneers smile design veneers
How Much Are Veneers in Italy
In Italy, veneer prices range from €700–€1,500 per tooth for porcelain and €300–€700 for composite. At...
teeth whitening miami best dentist straight teeth white teeth perfect teeth beautiful smile veneers implant all on x
How much is a dental implant and veneers combination TREATMENT
HOW MUCH IS A DENTAL IMPLANT AND VENEERS COMBINATION TREATMENT When it comes to creating a flawless,...
teeth whitening miami best dentist straight teeth white teeth perfect teeth beautiful smile veneers implant all on x

book your consultation

Average Cost of Veneers + Implants in Different U.S. Cities

Understanding the Value of Combining Dental Implants with Veneers

When patients consider cosmetic dentistry, they often focus on veneers for aesthetic improvements or implants for tooth replacement — but when these two treatments are combined, the transformation goes far beyond what either could achieve alone. Dental implants serve as artificial roots that restore chewing power and prevent jawbone deterioration, while veneers enhance the look of all visible teeth, correcting imperfections such as chips, stains, and uneven spacing. This combination treatment is especially valuable for patients who have lost one or more teeth but also desire a complete cosmetic upgrade, rather than patchwork dentistry.

From a financial perspective, the value lies in addressing both health and aesthetics at once, saving patients from having to undergo multiple, disjointed procedures over time. Patients often spend less overall when combining treatments, because diagnostic costs, surgical appointments, and lab fees can overlap. Moreover, achieving a full-mouth transformation in a single treatment plan avoids the need for future corrections or repeated cosmetic upgrades. In major US cities such as Miami, New York, and Los Angeles, this type of full-mouth solution is increasingly popular among professionals, influencers, and anyone wanting a confident, high-impact smile.

get $500 off

your smile design

Click Here

Cost Differences by Location in the US

Breaking Down the Costs: Dental Implants + Veneers in the US

The cost of a combination treatment depends on several factors: how many implants are needed, the type of veneers chosen (porcelain vs. composite), and whether bone grafting or additional surgical steps are required. On average in the US, a single dental implant can cost between $3,000–$6,000, while veneers typically range from $900–$2,500 per tooth. If a patient needs four implants combined with 16 veneers (a common scenario for a full smile makeover), the total cost can range from $25,000 to $60,000+ depending on the clinic’s reputation, lab quality, and geographic location.

It’s also important to remember that veneers are priced per tooth, while implants are priced per implant, which makes the final bill very case-dependent. Patients in smaller cities may pay less than those in major metropolitan areas, where higher overhead and demand increase pricing. Additionally, some practices include diagnostic imaging, CT scans, and follow-up visits in their package pricing, while others charge separately. Understanding the itemized breakdown of your treatment plan is crucial to compare quotes accurately.

dental, porcelain tooth, teeth white dentist best miami cosmetic dentist natural veneers really white veneers

Factors That Influence the Final Price of Treatment

Every patient’s smile is unique, which means the total investment in implants and veneers varies considerably. Several key factors affect the final cost:

  • Number of Missing Teeth: Patients missing only one or two teeth may only require isolated implants, while those with multiple gaps may need full-arch or All-on-4 implant solutions combined with veneers on natural teeth.

  • Type of Veneer Material: Porcelain veneers, prized for their durability and natural look, cost more than composite veneers, which are quicker to apply but less long-lasting.

  • Jawbone Health: If bone grafting or sinus lifts are needed before implant placement, the cost and treatment time both increase.

  • Laboratory Quality: Veneers crafted in high-end dental labs with advanced CAD/CAM technology and custom shading often come at a premium.

  • Dentist’s Expertise: A highly experienced cosmetic dentist or prosthodontist with advanced training may charge more, but the outcome is often more predictable and natural-looking.

Patients should also factor in the long-term value: implants can last a lifetime with proper care, and porcelain veneers often last 10–15 years or more. This durability makes the initial investment more worthwhile compared to cheaper, temporary alternatives.

Lifespan of Veneers vs. Implants

Treatment
Average Longevity
Porcelain Veneers
12–20 years
Composite Veneers
5–8 years
Zirconia Veneers
15–20 years
Dental Implants
25+ years (often lifetime)
teeth whitening miami best dentist straight teeth white teeth perfect teeth beautiful smile veneers implant all on x

Add-On Procedures That Increase Cost

Procedure
Additional Cost Range
Bone Grafting
$500 – $3,000
Sinus Lift
$1,200 – $5,000
Gum Contouring
$300 – $1,500
Temporary Restorations
$400 – $1,200

Why Patients Choose Combination Treatment

Long-Term Benefits: Why This Combination is Worth the Investment

Although the upfront price tag can feel significant, a combination of implants and veneers offers unmatched value when considering the functional and emotional benefits. Unlike dentures or partials, implants fuse with the jawbone to restore natural chewing ability, ensuring patients can eat, speak, and smile without worry. Veneers, on the other hand, create a uniform, dazzling smile that enhances confidence in both professional and personal settings. Patients who invest in this treatment often describe it as life-changing, reporting improved self-esteem, better first impressions, and even increased career opportunities.

From a health standpoint, dental implants prevent bone loss and preserve facial structure, while veneers protect weakened enamel and improve bite alignment. Together, these benefits make the combination treatment not just cosmetic, but restorative as well. Over time, patients save money on dental issues they might otherwise face — such as shifting teeth, bone resorption, or additional cosmetic work. In essence, the cost of not investing in this treatment often outweighs the price of undergoing it.

Is a Dental Implant and Veneers Combination Right for You

Not every patient needs both implants and veneers, but for those who do, this treatment can provide a total smile transformation. Ideal candidates include patients with one or more missing teeth, visible damage to their natural teeth, discoloration, or a desire for a complete cosmetic upgrade. During a consultation, your dentist will perform imaging, evaluate jawbone density, and discuss veneer materials to create a customized treatment plan.

When considering cost, it’s essential to remember that pricing should never be the only deciding factor. Choosing an experienced cosmetic dentist who specializes in complex smile makeovers ensures you’ll achieve results that look natural, function properly, and last for years. Many patients describe the treatment as the best investment they’ve ever made — not only in their smile, but in their quality of life.

  • American Academy of Cosmetic Dentistry (AACD). Dental Veneers and Implants Overview. aacd.com

  • American Dental Association (ADA). Dental Implant Facts & Costs. ada.org

Leave a Comment

Your email address will not be published. Required fields are marked *

Scroll to Top

Schedule Appointment

Fill out the form below, and we will be in touch shortly.

Contact Information
Preferred Date and Time To Be Contacted
Upload a Front Photo, a Right and Left Photo of Your Teeth (not required)