veneers root canal crown root canal dermal fillers botox deep cleanning srp braces extraction tooth extract pulled out partial dentures removable root canal dentures composite resin inlay onlay bridge crowns Invisalign clear aligners teeth reshaping gummy smile botox bonding teeth whitening miami best dentist straight teeth white teeth perfect teeth beautiful smile veneers smile design veneers

How much are full mouth veneers in US

how much smile design veneers cost in the USA

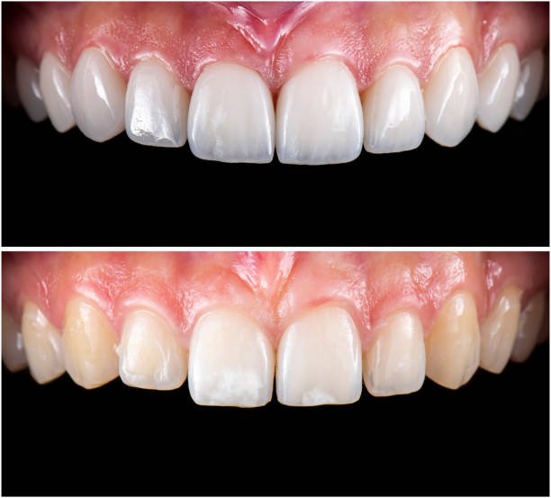
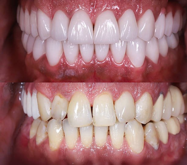
A flawless smile is often seen as a symbol of beauty, health, and confidence, which is why full mouth veneers are one of the most sought-after cosmetic dentistry procedures in the United States. However, if you’re researching “How much are full mouth veneers in the U.S.?” you’ve likely discovered that costs can vary significantly, depending on the dentist, materials, and geographic location. Indeed, in the U.S., where cosmetic dentistry blends artistry with science, veneers are custom-made to transform your smile by covering imperfections, such as stains, chips, misalignment, and gaps.

Furthermore, a full set of veneers can completely change not only your appearance but also your confidence, making it a life-changing investment. For instance, while single veneers may cost between $1,000 and $2,500 per tooth, a full mouth set—usually 16 to 20 teeth—can range anywhere from $15,000 to $50,000 or more. Above all, his wide price range exists because of factors like porcelain vs. composite veneers, the reputation of the cosmetic dentist, and whether advanced smile design technology is used.

Therefore, understanding the true cost of full mouth veneers in the U.S. means looking deeper into materials, durability, regional pricing differences, and ultimately, the long-term value they bring.

lips, lip filler, filler, botox, facial treatment, injection, beauty, botox, botox, botox, botox, botox
How much do veneers cost Mexico
How much do veneers cost Mexico How much do veneers cost Mexico How much do veneers cost...
veneers root canal crown root canal dermal fillers botox deep cleanning srp braces extraction tooth extract pulled out partial dentures removable root canal dentures composite resin inlay onlay bridge crowns Invisalign clear aligners teeth reshaping gummy smile botox bonding teeth whitening miami best dentist straight teeth white teeth perfect teeth beautiful smile veneers smile design veneers
How much veneers cost in Brazil
When considering a smile transformation, patients often weigh the pros and cons of traveling abroad for...
veneers root canal crown root canal dermal fillers botox deep cleanning srp braces extraction tooth extract pulled out partial dentures removable root canal dentures composite resin inlay onlay bridge crowns Invisalign clear aligners teeth reshaping gummy smile botox bonding teeth whitening miami best dentist straight teeth white teeth perfect teeth beautiful smile veneers smile design veneers
How much veneers cost in Puerto Rico
When it comes to investing in your smile, patients often compare destinations like Puerto Rico and Miami...
veneers root canal crown root canal dermal fillers botox deep cleanning srp braces extraction tooth extract pulled out partial dentures removable root canal dentures composite resin inlay onlay bridge crowns Invisalign clear aligners teeth reshaping gummy smile botox bonding teeth whitening miami best dentist straight teeth white teeth perfect teeth beautiful smile veneers smile design veneers
How Much Are Veneers in Italy
In Italy, veneer prices range from €700–€1,500 per tooth for porcelain and €300–€700 for composite. At...
teeth whitening miami best dentist straight teeth white teeth perfect teeth beautiful smile veneers implant all on x
How much is a dental implant and veneers combination TREATMENT
HOW MUCH IS A DENTAL IMPLANT AND VENEERS COMBINATION TREATMENT When it comes to creating a flawless,...
veneers root canal crown root canal dermal fillers botox deep cleanning srp braces extraction tooth extract pulled out partial dentures removable root canal dentures composite resin inlay onlay bridge crowns Invisalign clear aligners teeth reshaping gummy smile botox bonding teeth whitening miami best dentist straight teeth white teeth perfect teeth beautiful smile veneers smile design veneers

book your consultation

Average Lifespan of Veneers by Material

Average Cost of Full Mouth Veneers in the US

The cost of full mouth veneers varies widely; however, on average, patients should expect to pay $20,000 to $40,000 for porcelain veneers when treating both the upper and lower teeth. Specifically, porcelain is the most popular option because of its durability, natural translucency, and resistance to stains. By comparison, composite veneers, which are less expensive, range between $10,000 to $20,000 for the full mouth, but they do not last as long and may require more frequent maintenance.

Additionally, the price also depends on whether you’re covering 16, 18, or 20 teeth for a complete smile transformation. Furthermore, cosmetic dentists in larger metropolitan areas. for example, New York, Los Angeles, and Miami—tend to charge at the higher end due to demand, expertise, and advanced technology, whereas costs in smaller cities may be lower.

get $500 off

your smile design

Click Here

Veneer Material Comparison by Feature

Key Factors That Affect Veneer Pricing

Several factors influence the total cost of full mouth veneers in the U.S. First and foremost, the type of material used is a major consideration: porcelain veneers cost more upfront but last 10–15 years, whereas composite veneers are more affordable yet last only 5–7 years. In addition, the skill and reputation of the dentist play a significant role; highly experienced cosmetic dentists with a strong portfolio often charge premium prices.

Moreover, technology such as 3D digital smile design and CAD/CAM fabrication further adds value to the treatment. Finally, the geographic region impacts pricing—for example, major urban areas typically have higher fees while rural regions may be more affordable. Furthermore, patients should also consider additional costs, including X-rays, consultations, and possible pre-treatment procedures such as whitening, gum contouring, or orthodontics before veneer placement.

veneers root canal crown root canal dermal fillers botox deep cleanning srp braces extraction tooth extract pulled out partial dentures removable root canal dentures composite resin inlay onlay bridge crowns Invisalign clear aligners teeth reshaping gummy smile botox bonding teeth whitening miami best dentist straight teeth white teeth perfect teeth beautiful smile veneers smile design veneers

Comparing Porcelain vs. Composite Veneers

When evaluating the cost of full mouth veneers, it’s important to compare porcelain versus composite options. Specifically, porcelain veneers are crafted in a dental laboratory and custom-designed to perfectly match the patient’s facial structure and natural teeth.

Although they are more expensive, porcelain veneers provide a highly aesthetic, stain-resistant, and long-lasting solution. By contrast, composite veneers are applied directly by the dentist in a single visit, therefore making them quicker and more affordable. However, composites are more prone to staining, chipping, and discoloration over time. Consequently, patients who choose porcelain typically spend more upfront but ultimately save money in the long term due to reduced maintenance and fewer replacements.

patricia perez gonzalez

Additional Costs Beyond Veneers

Service
Average Cost
Initial Consultation
$100 – $300
Digital Smile Design (3D Mockup)
$250 – $1,000
Temporary Veneers
$400 – $1,200
Post-Treatment Whitening
$250 – $600
veneers root canal crown root canal dermal fillers botox deep cleanning srp braces extraction tooth extract pulled out partial dentures removable root canal dentures composite resin inlay onlay bridge crowns Invisalign clear aligners teeth reshaping gummy smile botox bonding teeth whitening miami best dentist straight teeth white teeth perfect teeth beautiful smile veneers smile design veneers

Common Reasons for Veneer Replacement

Reason
Frequency Among Patients
Chipping or Cracking
35%
Staining Around Edges
20%
Gum Recession
15%
Desire for Whiter Shade
18%
Normal Wear and Tear
12%

Patient Satisfaction with Full Mouth Veneers (Survey Data)

Long-Term Value of Full Mouth Veneers

While the initial cost of full mouth veneers in the U.S. can seem high, in fact, the long-term benefits often outweigh the price. Not only do patients enjoy improved aesthetics, but they also experience a significant boost in confidence, professional opportunities, and social interactions.

Specifically, porcelain veneers can last well over a decade with proper care, therefore making them a durable investment. When compared to other cosmetic dental treatments. for example, teeth whitening, which requires frequent touch-ups, or orthodontics, which can take years—veneers deliver fast, long-lasting, and dramatic results. As a result, many patients view veneers not just as a cosmetic expense but also as an investment in their self-esteem and overall quality of life.

Full Mouth Veneers in the US: Is It Worth the Investment

The decision to invest in full mouth veneers should be made only after carefully weighing the costs, benefits, and alternatives. For instance, patients with multiple imperfections. such as discoloration, gaps, uneven teeth, or worn enamel. find that veneers offer a comprehensive solution that no single treatment can match.

Furthermore, a full mouth set transforms both the upper and lower teeth, thereby ensuring balance, harmony, and a Hollywood-worthy smile. Although the price tag can be significant, the return on investment comes in the form of durability, beauty, and improved self-confidence. As a result, many patients report that veneers are life-changing, making the procedure worth every dollar spent.

  • Peumans, M., Van Meerbeek, B., Lambrechts, P., & Vanherle, G. (2000). Porcelain Veneers: A review of the literature. J Dent, 28(3), 163–177.

  • Walls, A. W. G. (1995). The use of veneers for anterior teeth: A review. British Dental Journal, 178(2), 61–66.

  • Dumfahrt, H., & Schäffer, H. (2000). Porcelain laminate veneers. A retrospective evaluation after 1 to 10 years of service: Part II—Clinical results. International Journal of Prosthodontics, 13(1), 9–18.

1 thought on “How much are full mouth veneers in US”

  1. Pingback: How much is a dental implant and veneers combination TREATMENT – Cosmetistry by Dr P

Leave a Comment

Your email address will not be published. Required fields are marked *

Scroll to Top

Schedule Appointment

Fill out the form below, and we will be in touch shortly.

Contact Information
Preferred Date and Time To Be Contacted
Upload a Front Photo, a Right and Left Photo of Your Teeth (not required)